出青春痘的原因有哪些(什么原因会导致长青春痘)
出青春痘的原因有哪些(什么原因会导致长青春痘)
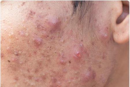
痤疮是一种慢性毛囊皮脂腺的炎症性疾病,因为发病年龄以青春期为多,所以俗称为青春痘。发病原因可以总结为几个方面:

1.雄激素的作用。青春期后身体发育的需要,雄激素分泌会增加,雄激素可以调控引起皮脂腺增生及功能活跃,引起的一个直接反应就是皮脂分泌增多,表现出来就是青春期后逐渐感觉头皮、面部,胸背部等部位开始变“油”。这也是青春痘发病的一个最基础的原因。
2.毛囊皮脂腺开口的堵塞。皮脂分泌增加,如果顺畅排出,会感觉比较“油”,如果此时毛囊口堵塞,皮脂排出不通畅,皮脂逐渐的积累,就会形成粉刺。这种堵塞可以是两方面原因,一种是毛囊皮脂腺开口的异常角化,使开口形成时就是一种不通畅的状态,还有一种是外界因素造成,比如化妆品等,可以人为的造成局部堵塞。
3.痤疮丙酸杆菌感染。如果毛囊皮脂腺部位合并出现痤疮丙酸杆菌感染,就会出现炎症性的痤疮,表现出来就是相对更重一些的痤疮,比如炎性丘疹,脓疱等。当炎症扩散,或皮脂腺破裂等损伤时,就可以形成囊肿或结节等更严重的损害。

4.遗传因素。遗传因素主要跟一些相对较重的痤疮更相关。遗传因素对痤疮影响主要是两方面,一方面是引起毛囊皮脂腺开口的角化异常,另一方面是使皮脂腺对雄激素调控的敏感性更高。
5.加重因素。除了上面这些原因外,一些因素也会加重痤疮,比如辛辣刺激食物,油腻甜食,浓茶咖啡等,熬夜生活不规律,精神压力大风,外用护肤品或接触的化学用品,暴晒,不正确护肤等,都可能会加重痤疮甚至引起痤疮。
总之,青春痘的发病是一个多方面,复杂的过程,出现后应该进行一些规范的治疗,避免发展成为较重的类型,影响外观,增加治疗的经济负担和个人的心理压力。
图片来源于网络,如有侵权,烦请联系删除!

青春痘是一种慢性皮肤问题,其原因是毛囊被油脂和死皮肤细胞堵住,出现的部位有脸部、胸部、脖子、背部和肩部,最讨人嫌的部位是脸部。痘痘形成有四大原因:油脂、死皮肤细胞、毛孔堵塞、细菌感染。
痘痘出现的地方是皮脂腺发达之处,如果身体分泌过多的皮脂,加上过多的死皮肤细胞,两者就会在毛囊里堆积,为细菌生存创造条件,进而导致发炎。
激素变化会诱发和恶化青春痘,青春期雄激素增多会导致皮脂腺增大和皮脂分泌增多,怀孕和服用口服避孕药也会影响皮脂分泌,女性血液中雄激素水平过低则会导致痘痘恶化。含有糖皮质激素、雄激素、锂的药物会恶化痘痘。奶制品、富含碳水化合物的食物可能会诱发痘痘,巧克力有可能使之恶化。此外还有压力也会导致痘痘恶化。
80%的痘痘有遗传因素,吸烟会导致痘痘发作及症状严重。皮肤被背包、衣领、头盔、手机等久压也会出痘痘,但吃油腻的食物、皮肤肮脏、抹化妆品都不会恶化痘痘,使劲搓脸或者用含化学品的东西洗脸会恶化痘痘。






